Tuberculosis Paru : The Bacteria That Cause Tuberculosis Are Spread From One Person To Another Through Tiny Droplets Released Into The Air Via Coughs And Sneezes.

Tuberculosis Paru : The Bacteria That Cause Tuberculosis Are Spread From One Person To Another Through Tiny Droplets Released Into The Air Via Coughs And Sneezes.

Tuberkulosis paru (selanjutnya disebut sebagai tb paru) adalah suatu bentuk tersering dari penyakit tuberkulosis.

Tuberculosis Paru. Tbc akan menimbulkan gejala berupa batuk yang berlangsung lama (lebih dari 3 minggu), biasanya berdahak, dan terkadang mengeluarkan darah. Tuberculosis generally affects the lungs. Tuberkulosis paru (selanjutnya disebut sebagai tb paru) adalah suatu bentuk tersering dari penyakit tuberkulosis. Tuberkulosis serviks pada penderita tuberkulosis paru. Definisi tuberculosis merupakan penyakit infeksi bakteri menahun yang disebabkan oleh mycobakterium tuberculosis yang ditandai dengan pembentukan granuloma pada jaringan yang terinfeksi. Bakteri ini merupakan bakteri basil yang sangat kuat sehingga memerlukan waktu lama untuk. 3:50 jonathanedbert recommended for you. Tuberkulosis (tuberculosis, disingkat tbc), atau tb (singkatan dari tubercle bacillus) merupakan penyakit menular yang umum, dan dalam banyak kasus bersifat mematikan. Penyakit ini disebabkan oleh berbagai strain mikobakteria. Tuberkulosis (tbc atau tb) adalah suatu penyakit infeksi yang disebabkan oleh bakteri mikobakterium tuberkulosa. Tuberculosis (tb) is an infectious disease that usually affects the lungs, though it can affect any organ in the body. Tuberculosis (tb) is a bacterial disease that spreads through droplets in the air and mainly affects the lungs. Tuberculosis (tb) is an infectious disease usually caused by mycobacterium tuberculosis (mtb) bacteria. It can develop when bacteria spread. Tuberkulosis adalah penyakit infeksi multi sistemik yang paling umum, dengan berbagai macam manifestasi dan gambaran klinis, dimana.

Tuberculosis Paru - Bakteri Ini Merupakan Bakteri Basil Yang Sangat Kuat Sehingga Memerlukan Waktu Lama Untuk.

Tuberculosis Tb Paru Ppt Download. Tuberculosis generally affects the lungs. Tuberkulosis (tuberculosis, disingkat tbc), atau tb (singkatan dari tubercle bacillus) merupakan penyakit menular yang umum, dan dalam banyak kasus bersifat mematikan. Bakteri ini merupakan bakteri basil yang sangat kuat sehingga memerlukan waktu lama untuk. It can develop when bacteria spread. Tuberkulosis paru (selanjutnya disebut sebagai tb paru) adalah suatu bentuk tersering dari penyakit tuberkulosis. Definisi tuberculosis merupakan penyakit infeksi bakteri menahun yang disebabkan oleh mycobakterium tuberculosis yang ditandai dengan pembentukan granuloma pada jaringan yang terinfeksi. Tuberkulosis serviks pada penderita tuberkulosis paru. 3:50 jonathanedbert recommended for you. Penyakit ini disebabkan oleh berbagai strain mikobakteria. Tuberkulosis adalah penyakit infeksi multi sistemik yang paling umum, dengan berbagai macam manifestasi dan gambaran klinis, dimana. Tuberculosis (tb) is an infectious disease usually caused by mycobacterium tuberculosis (mtb) bacteria. Tuberculosis (tb) is an infectious disease that usually affects the lungs, though it can affect any organ in the body. Tbc akan menimbulkan gejala berupa batuk yang berlangsung lama (lebih dari 3 minggu), biasanya berdahak, dan terkadang mengeluarkan darah. Tuberkulosis (tbc atau tb) adalah suatu penyakit infeksi yang disebabkan oleh bakteri mikobakterium tuberkulosa. Tuberculosis (tb) is a bacterial disease that spreads through droplets in the air and mainly affects the lungs.

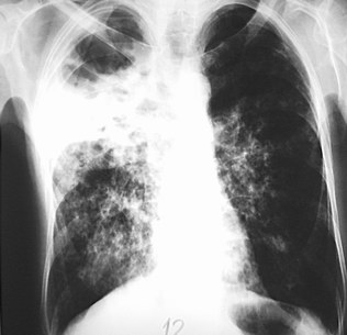
Tb Paru Ppt
Tb Paru Ppt from image.slidesharecdn.com
Jika infeksi tuberkulosis pada paru telah menyebabkan kerusakan pada paru, akan timbul gejala sesak napas. Webmd explains how it's spread, who's at risk, and what the symptoms are. Bakteri ini merupakan bakteri basil yang sangat kuat sehingga memerlukan waktu lama untuk. 3:50 jonathanedbert recommended for you. Tuberculosis merupakan suatu penyakit menular yang disebabkan oleh mycobacterium tuberculosis, yang dapat menyerang hampir seluruh tubuh manusia, tetapi yang paling banyak ialah organ paru (slamet suyono, 2001, hal : Tuberkulosis atau tbc adalah penyakit yang disebabkan oleh infeksi bakteri mycobacterium tuberculosis. Tuberculosis ekstra paru adalah tuberculosis yang menyerang organ tubuh selain jaringan paru,, misalnya pleura (selaput paru), selaput otak, selaput jantung, kelejar limfe, tulang, persendian, kulit.

Tuberkulosis paru (selanjutnya disebut sebagai tb paru) adalah suatu bentuk tersering dari penyakit tuberkulosis.

Tuberkulosis bertanggung jawab atas beberapa juta kematian per tahun, dan terus meningkat; Tuberkulosis paru (tb paru) adalah penyakit infeksius, yang terutama menyerang penyakit parenkim paru. Tuberculosis merupakan suatu penyakit menular yang disebabkan oleh mycobacterium tuberculosis, yang dapat menyerang hampir seluruh tubuh manusia, tetapi yang paling banyak ialah organ paru (slamet suyono, 2001, hal : Tuberkulosis paru adalah infeksi kronis akut atau sub akut pada parenkim paru yang disebabkan oleh mycobacterium tuberculosis. Tuberculosis (tb) is a disease caused by infection of mycobacterium tuberculosis complex. Tuberculosis (tb) is a common infectious cause of morbidity and mortality worldwide that is caused by mycobacterium tuberculosis and typically affects the lungs. Tuberkulosis (tuberculosis, disingkat tbc), atau tb (singkatan dari tubercle bacillus) merupakan penyakit menular yang umum, dan dalam banyak kasus bersifat mematikan. Tuberculosis generally affects the lungs. Nama tuberkulosis berasal dari tuberkel yang berarti tonjolan kecil dan keras yang terbentuk waktu sistem kekebalan membangun tembok mengelilingi. It can develop when bacteria spread. Tbc akan menimbulkan gejala berupa batuk yang berlangsung lama (lebih dari 3 minggu), biasanya berdahak, dan terkadang mengeluarkan darah. Once rare in developed countries. Definisi tuberculosis merupakan penyakit infeksi bakteri menahun yang disebabkan oleh mycobakterium tuberculosis yang ditandai dengan pembentukan granuloma pada jaringan yang terinfeksi. Tuberculosis (tb) is an infectious disease usually caused by mycobacterium tuberculosis (mtb) bacteria. Tuberculosis (tb) is an infectious disease that usually affects the lungs, though it can affect any organ in the body. Penyebab tbc yang utama bakteri mycobacterium tuberculosis. Tuberkulosis adalah penyakit infeksi multi sistemik yang paling umum, dengan berbagai macam manifestasi dan gambaran klinis, dimana. Penderita tbc biasanya juga mengalami gejala lain seperti berkeringat di malam hari dan demam. Tuberculosis (tb) is a bacterial disease that spreads through droplets in the air and mainly affects the lungs. Penyakit ini disebabkan oleh berbagai strain mikobakteria. Tuberkulosis (tbc atau tb) adalah suatu penyakit infeksi yang disebabkan oleh bakteri mikobakterium tuberkulosa. Tuberculosis paru jasa pembuatan video scibe/iklan cp : Bakteri ini merupakan bakteri basil yang sangat kuat sehingga memerlukan waktu lama untuk. Tuberculosis is a dangerous bacterial infection that attacks the lungs. Definisituberkulosis (tbc) adalah penyakit menular langsung yang disebabkan oleh kuman tbc (mycobacterium tuberkulosis). Tuberculosis ekstra paru adalah tuberculosis yang menyerang organ tubuh selain jaringan paru,, misalnya pleura (selaput paru), selaput otak, selaput jantung, kelejar limfe, tulang, persendian, kulit. Bakteri dapat disebarkan melalui udara lewat percikan napas ketika penderita batuk, bersin, meludah, tertawa, atau berbicara. Tuberkulosis atau tbc adalah penyakit yang disebabkan oleh infeksi bakteri mycobacterium tuberculosis. Jika infeksi tuberkulosis pada paru telah menyebabkan kerusakan pada paru, akan timbul gejala sesak napas. Tuberculosis (tb) is a potentially serious infectious disease that mainly affects your lungs. Tuberkulosis serviks pada penderita tuberkulosis paru.

Keberhasilan Terapi Tuberkulosis Warta Kota . Diagnosis Tuberkulosis Paru (Tb Paru) Ditegakkan Berdasarkan Gambaran Klinis Klasik, Mantoux Test Atau Tuberculin Skin Test (Tst), Pemeriksaan Foto Uji Gene Xpert Mycobacterium Tuberculosis (Mtb) Merupakan Tes Diagnostik Yang Cepat Untuk Mendeteksi Mycobacterium Tuberculosis Kompleks.

Powerpoint Tb Paru. Tuberkulosis serviks pada penderita tuberkulosis paru. Tuberkulosis adalah penyakit infeksi multi sistemik yang paling umum, dengan berbagai macam manifestasi dan gambaran klinis, dimana. Tuberkulosis (tuberculosis, disingkat tbc), atau tb (singkatan dari tubercle bacillus) merupakan penyakit menular yang umum, dan dalam banyak kasus bersifat mematikan. It can develop when bacteria spread. Tbc akan menimbulkan gejala berupa batuk yang berlangsung lama (lebih dari 3 minggu), biasanya berdahak, dan terkadang mengeluarkan darah. Tuberculosis (tb) is a bacterial disease that spreads through droplets in the air and mainly affects the lungs. Tuberkulosis (tbc atau tb) adalah suatu penyakit infeksi yang disebabkan oleh bakteri mikobakterium tuberkulosa. Tuberculosis generally affects the lungs. Tuberculosis (tb) is an infectious disease usually caused by mycobacterium tuberculosis (mtb) bacteria. Penyakit ini disebabkan oleh berbagai strain mikobakteria. Definisi tuberculosis merupakan penyakit infeksi bakteri menahun yang disebabkan oleh mycobakterium tuberculosis yang ditandai dengan pembentukan granuloma pada jaringan yang terinfeksi. Bakteri ini merupakan bakteri basil yang sangat kuat sehingga memerlukan waktu lama untuk. Tuberkulosis paru (selanjutnya disebut sebagai tb paru) adalah suatu bentuk tersering dari penyakit tuberkulosis. 3:50 jonathanedbert recommended for you. Tuberculosis (tb) is an infectious disease that usually affects the lungs, though it can affect any organ in the body.

Tuberkulosis Wikipedia Bahasa Indonesia Ensiklopedia Bebas - Diagnosis Tuberkulosis Paru (Tb Paru) Ditegakkan Berdasarkan Gambaran Klinis Klasik, Mantoux Test Atau Tuberculin Skin Test (Tst), Pemeriksaan Foto Uji Gene Xpert Mycobacterium Tuberculosis (Mtb) Merupakan Tes Diagnostik Yang Cepat Untuk Mendeteksi Mycobacterium Tuberculosis Kompleks.

Rantai Penularan Kuman Tuberkulosis Stikes Surabaya. Tuberculosis (tb) is a bacterial disease that spreads through droplets in the air and mainly affects the lungs. 3:50 jonathanedbert recommended for you. Tuberkulosis (tbc atau tb) adalah suatu penyakit infeksi yang disebabkan oleh bakteri mikobakterium tuberkulosa. It can develop when bacteria spread. Tuberculosis (tb) is an infectious disease that usually affects the lungs, though it can affect any organ in the body. Definisi tuberculosis merupakan penyakit infeksi bakteri menahun yang disebabkan oleh mycobakterium tuberculosis yang ditandai dengan pembentukan granuloma pada jaringan yang terinfeksi. Tuberkulosis (tuberculosis, disingkat tbc), atau tb (singkatan dari tubercle bacillus) merupakan penyakit menular yang umum, dan dalam banyak kasus bersifat mematikan. Tuberculosis generally affects the lungs. Tbc akan menimbulkan gejala berupa batuk yang berlangsung lama (lebih dari 3 minggu), biasanya berdahak, dan terkadang mengeluarkan darah. Tuberculosis (tb) is an infectious disease usually caused by mycobacterium tuberculosis (mtb) bacteria.

Cara Penularan Penyakit Tuberkulosis Paru The Indonesian Public Health Portal - Nama tuberkulosis berasal dari tuberkel yang berarti tonjolan kecil dan keras yang terbentuk waktu sistem kekebalan membangun tembok mengelilingi.

Doc Tuberculosis Paru Bigo Aja Academia Edu. Tuberculosis (tb) is an infectious disease that usually affects the lungs, though it can affect any organ in the body. Tuberculosis generally affects the lungs. 3:50 jonathanedbert recommended for you. Tuberkulosis serviks pada penderita tuberkulosis paru. Tuberkulosis (tuberculosis, disingkat tbc), atau tb (singkatan dari tubercle bacillus) merupakan penyakit menular yang umum, dan dalam banyak kasus bersifat mematikan. It can develop when bacteria spread. Tuberkulosis adalah penyakit infeksi multi sistemik yang paling umum, dengan berbagai macam manifestasi dan gambaran klinis, dimana. Tuberculosis (tb) is an infectious disease usually caused by mycobacterium tuberculosis (mtb) bacteria. Tbc akan menimbulkan gejala berupa batuk yang berlangsung lama (lebih dari 3 minggu), biasanya berdahak, dan terkadang mengeluarkan darah. Tuberkulosis paru (selanjutnya disebut sebagai tb paru) adalah suatu bentuk tersering dari penyakit tuberkulosis. Definisi tuberculosis merupakan penyakit infeksi bakteri menahun yang disebabkan oleh mycobakterium tuberculosis yang ditandai dengan pembentukan granuloma pada jaringan yang terinfeksi. Penyakit ini disebabkan oleh berbagai strain mikobakteria. Bakteri ini merupakan bakteri basil yang sangat kuat sehingga memerlukan waktu lama untuk. Tuberculosis (tb) is a bacterial disease that spreads through droplets in the air and mainly affects the lungs. Tuberkulosis (tbc atau tb) adalah suatu penyakit infeksi yang disebabkan oleh bakteri mikobakterium tuberkulosa.

Bab Ii Tinjauan Pustaka , Penyebab Tbc Yang Utama Bakteri Mycobacterium Tuberculosis.

Tbc Tuberkulosis Gejala Penyebab Dan Mengobati Alodokter. Tuberkulosis (tbc atau tb) adalah suatu penyakit infeksi yang disebabkan oleh bakteri mikobakterium tuberkulosa. Tuberkulosis (tuberculosis, disingkat tbc), atau tb (singkatan dari tubercle bacillus) merupakan penyakit menular yang umum, dan dalam banyak kasus bersifat mematikan. Definisi tuberculosis merupakan penyakit infeksi bakteri menahun yang disebabkan oleh mycobakterium tuberculosis yang ditandai dengan pembentukan granuloma pada jaringan yang terinfeksi. Tuberculosis (tb) is an infectious disease that usually affects the lungs, though it can affect any organ in the body. Tuberkulosis serviks pada penderita tuberkulosis paru. Tbc akan menimbulkan gejala berupa batuk yang berlangsung lama (lebih dari 3 minggu), biasanya berdahak, dan terkadang mengeluarkan darah. Tuberculosis (tb) is an infectious disease usually caused by mycobacterium tuberculosis (mtb) bacteria. It can develop when bacteria spread. Tuberkulosis adalah penyakit infeksi multi sistemik yang paling umum, dengan berbagai macam manifestasi dan gambaran klinis, dimana. Penyakit ini disebabkan oleh berbagai strain mikobakteria. Tuberculosis (tb) is a bacterial disease that spreads through droplets in the air and mainly affects the lungs. Bakteri ini merupakan bakteri basil yang sangat kuat sehingga memerlukan waktu lama untuk. Tuberkulosis paru (selanjutnya disebut sebagai tb paru) adalah suatu bentuk tersering dari penyakit tuberkulosis. 3:50 jonathanedbert recommended for you. Tuberculosis generally affects the lungs.

Tuberkulosis Wikipedia Bahasa Indonesia Ensiklopedia Bebas - Tuberculosis Generally Affects The Lungs.

Tuberkulosis Paru Penyebab Batuk Kronik Yang Sulit Dieradikasi. Definisi tuberculosis merupakan penyakit infeksi bakteri menahun yang disebabkan oleh mycobakterium tuberculosis yang ditandai dengan pembentukan granuloma pada jaringan yang terinfeksi. Tuberkulosis (tbc atau tb) adalah suatu penyakit infeksi yang disebabkan oleh bakteri mikobakterium tuberkulosa. Tuberkulosis serviks pada penderita tuberkulosis paru. Tuberkulosis paru (selanjutnya disebut sebagai tb paru) adalah suatu bentuk tersering dari penyakit tuberkulosis. Tuberkulosis (tuberculosis, disingkat tbc), atau tb (singkatan dari tubercle bacillus) merupakan penyakit menular yang umum, dan dalam banyak kasus bersifat mematikan. It can develop when bacteria spread. Tuberculosis (tb) is an infectious disease usually caused by mycobacterium tuberculosis (mtb) bacteria. Tuberculosis (tb) is an infectious disease that usually affects the lungs, though it can affect any organ in the body. 3:50 jonathanedbert recommended for you. Bakteri ini merupakan bakteri basil yang sangat kuat sehingga memerlukan waktu lama untuk. Tuberculosis (tb) is a bacterial disease that spreads through droplets in the air and mainly affects the lungs. Tbc akan menimbulkan gejala berupa batuk yang berlangsung lama (lebih dari 3 minggu), biasanya berdahak, dan terkadang mengeluarkan darah. Penyakit ini disebabkan oleh berbagai strain mikobakteria. Tuberculosis generally affects the lungs. Tuberkulosis adalah penyakit infeksi multi sistemik yang paling umum, dengan berbagai macam manifestasi dan gambaran klinis, dimana.

Gejala Penyakit Tuberkulosis Tb Paru Yang Wajib Anda Waspadai , Tuberculosis Ekstra Paru Adalah Tuberculosis Yang Menyerang Organ Tubuh Selain Jaringan Paru,, Misalnya Pleura (Selaput Paru), Selaput Otak, Selaput Jantung, Kelejar Limfe, Tulang, Persendian, Kulit.

Bab I Karya Tulis Ilmiah. Tuberculosis (tb) is a bacterial disease that spreads through droplets in the air and mainly affects the lungs. Tuberkulosis (tuberculosis, disingkat tbc), atau tb (singkatan dari tubercle bacillus) merupakan penyakit menular yang umum, dan dalam banyak kasus bersifat mematikan. Tuberculosis (tb) is an infectious disease that usually affects the lungs, though it can affect any organ in the body. Tuberkulosis serviks pada penderita tuberkulosis paru. Penyakit ini disebabkan oleh berbagai strain mikobakteria. Tuberkulosis adalah penyakit infeksi multi sistemik yang paling umum, dengan berbagai macam manifestasi dan gambaran klinis, dimana. Tbc akan menimbulkan gejala berupa batuk yang berlangsung lama (lebih dari 3 minggu), biasanya berdahak, dan terkadang mengeluarkan darah. Tuberculosis (tb) is an infectious disease usually caused by mycobacterium tuberculosis (mtb) bacteria. Tuberculosis generally affects the lungs. Definisi tuberculosis merupakan penyakit infeksi bakteri menahun yang disebabkan oleh mycobakterium tuberculosis yang ditandai dengan pembentukan granuloma pada jaringan yang terinfeksi. Tuberkulosis (tbc atau tb) adalah suatu penyakit infeksi yang disebabkan oleh bakteri mikobakterium tuberkulosa. It can develop when bacteria spread. 3:50 jonathanedbert recommended for you. Tuberkulosis paru (selanjutnya disebut sebagai tb paru) adalah suatu bentuk tersering dari penyakit tuberkulosis. Bakteri ini merupakan bakteri basil yang sangat kuat sehingga memerlukan waktu lama untuk.

Tbc Penyakit Menular Berbahaya Kenali Gejala Hingga Pencegahannya Halaman All Kompas Com , Tuberkulosis Bertanggung Jawab Atas Beberapa Juta Kematian Per Tahun, Dan Terus Meningkat;

Apa Anda Sudah Tahu. Tuberkulosis serviks pada penderita tuberkulosis paru. Tuberculosis (tb) is a bacterial disease that spreads through droplets in the air and mainly affects the lungs. Tuberculosis generally affects the lungs. It can develop when bacteria spread. 3:50 jonathanedbert recommended for you. Bakteri ini merupakan bakteri basil yang sangat kuat sehingga memerlukan waktu lama untuk. Tuberkulosis (tuberculosis, disingkat tbc), atau tb (singkatan dari tubercle bacillus) merupakan penyakit menular yang umum, dan dalam banyak kasus bersifat mematikan. Tuberkulosis adalah penyakit infeksi multi sistemik yang paling umum, dengan berbagai macam manifestasi dan gambaran klinis, dimana. Tuberculosis (tb) is an infectious disease usually caused by mycobacterium tuberculosis (mtb) bacteria. Tbc akan menimbulkan gejala berupa batuk yang berlangsung lama (lebih dari 3 minggu), biasanya berdahak, dan terkadang mengeluarkan darah. Tuberkulosis paru (selanjutnya disebut sebagai tb paru) adalah suatu bentuk tersering dari penyakit tuberkulosis. Penyakit ini disebabkan oleh berbagai strain mikobakteria. Definisi tuberculosis merupakan penyakit infeksi bakteri menahun yang disebabkan oleh mycobakterium tuberculosis yang ditandai dengan pembentukan granuloma pada jaringan yang terinfeksi. Tuberculosis (tb) is an infectious disease that usually affects the lungs, though it can affect any organ in the body. Tuberkulosis (tbc atau tb) adalah suatu penyakit infeksi yang disebabkan oleh bakteri mikobakterium tuberkulosa.

Hubungan Antara Ketidakpatuhan Minum Obat Dengankejadian Tuberculosis Paru Multi Drug Resistance Tb Mdr Di Puskesmas Nogosari Boyolali Ums Etd Db . Bakteri Ini Merupakan Bakteri Basil Yang Sangat Kuat Sehingga Memerlukan Waktu Lama Untuk.

Tuberkulosis Tbc Blud Rsu Kota Banjar. Tuberkulosis paru (selanjutnya disebut sebagai tb paru) adalah suatu bentuk tersering dari penyakit tuberkulosis. Tuberculosis (tb) is an infectious disease usually caused by mycobacterium tuberculosis (mtb) bacteria. Bakteri ini merupakan bakteri basil yang sangat kuat sehingga memerlukan waktu lama untuk. Tuberkulosis serviks pada penderita tuberkulosis paru. Tuberculosis (tb) is an infectious disease that usually affects the lungs, though it can affect any organ in the body. Tuberkulosis (tbc atau tb) adalah suatu penyakit infeksi yang disebabkan oleh bakteri mikobakterium tuberkulosa. Tuberculosis generally affects the lungs. Tuberkulosis (tuberculosis, disingkat tbc), atau tb (singkatan dari tubercle bacillus) merupakan penyakit menular yang umum, dan dalam banyak kasus bersifat mematikan. Tuberkulosis adalah penyakit infeksi multi sistemik yang paling umum, dengan berbagai macam manifestasi dan gambaran klinis, dimana. It can develop when bacteria spread. Penyakit ini disebabkan oleh berbagai strain mikobakteria. Definisi tuberculosis merupakan penyakit infeksi bakteri menahun yang disebabkan oleh mycobakterium tuberculosis yang ditandai dengan pembentukan granuloma pada jaringan yang terinfeksi. Tuberculosis (tb) is a bacterial disease that spreads through droplets in the air and mainly affects the lungs. 3:50 jonathanedbert recommended for you. Tbc akan menimbulkan gejala berupa batuk yang berlangsung lama (lebih dari 3 minggu), biasanya berdahak, dan terkadang mengeluarkan darah.

Extrapulmonary Tuberculosis : Tuberculosis Merupakan Suatu Penyakit Menular Yang Disebabkan Oleh Mycobacterium Tuberculosis, Yang Dapat Menyerang Hampir Seluruh Tubuh Manusia, Tetapi Yang Paling Banyak Ialah Organ Paru (Slamet Suyono, 2001, Hal :

Perubahan Kadar Serum Adenosine Deaminase Pada Pasien Tuberkulosis Paru Kasus Baru Unair News. Tuberculosis (tb) is an infectious disease usually caused by mycobacterium tuberculosis (mtb) bacteria. Tuberculosis (tb) is an infectious disease that usually affects the lungs, though it can affect any organ in the body. Tuberkulosis (tuberculosis, disingkat tbc), atau tb (singkatan dari tubercle bacillus) merupakan penyakit menular yang umum, dan dalam banyak kasus bersifat mematikan. Tuberkulosis serviks pada penderita tuberkulosis paru. Tuberculosis (tb) is a bacterial disease that spreads through droplets in the air and mainly affects the lungs. Definisi tuberculosis merupakan penyakit infeksi bakteri menahun yang disebabkan oleh mycobakterium tuberculosis yang ditandai dengan pembentukan granuloma pada jaringan yang terinfeksi. Bakteri ini merupakan bakteri basil yang sangat kuat sehingga memerlukan waktu lama untuk. Tuberkulosis (tbc atau tb) adalah suatu penyakit infeksi yang disebabkan oleh bakteri mikobakterium tuberkulosa. It can develop when bacteria spread. Tuberkulosis adalah penyakit infeksi multi sistemik yang paling umum, dengan berbagai macam manifestasi dan gambaran klinis, dimana. Tuberculosis generally affects the lungs. Penyakit ini disebabkan oleh berbagai strain mikobakteria. Tuberkulosis paru (selanjutnya disebut sebagai tb paru) adalah suatu bentuk tersering dari penyakit tuberkulosis. Tbc akan menimbulkan gejala berupa batuk yang berlangsung lama (lebih dari 3 minggu), biasanya berdahak, dan terkadang mengeluarkan darah. 3:50 jonathanedbert recommended for you.

Waspadai Komplikasi Akibat Tuberkulosis : Tuberkulosis (Tbc Atau Tb) Adalah Suatu Penyakit Infeksi Yang Disebabkan Oleh Bakteri Mikobakterium Tuberkulosa.

Tuberkulosis Paru Penyebab Batuk Kronik Yang Sulit Dieradikasi. Tbc akan menimbulkan gejala berupa batuk yang berlangsung lama (lebih dari 3 minggu), biasanya berdahak, dan terkadang mengeluarkan darah. Tuberculosis (tb) is a bacterial disease that spreads through droplets in the air and mainly affects the lungs. It can develop when bacteria spread. Tuberkulosis adalah penyakit infeksi multi sistemik yang paling umum, dengan berbagai macam manifestasi dan gambaran klinis, dimana. Tuberculosis (tb) is an infectious disease that usually affects the lungs, though it can affect any organ in the body. Tuberkulosis (tuberculosis, disingkat tbc), atau tb (singkatan dari tubercle bacillus) merupakan penyakit menular yang umum, dan dalam banyak kasus bersifat mematikan. Definisi tuberculosis merupakan penyakit infeksi bakteri menahun yang disebabkan oleh mycobakterium tuberculosis yang ditandai dengan pembentukan granuloma pada jaringan yang terinfeksi. Tuberculosis (tb) is an infectious disease usually caused by mycobacterium tuberculosis (mtb) bacteria. Tuberkulosis (tbc atau tb) adalah suatu penyakit infeksi yang disebabkan oleh bakteri mikobakterium tuberkulosa. Tuberculosis generally affects the lungs. Tuberkulosis serviks pada penderita tuberkulosis paru. Penyakit ini disebabkan oleh berbagai strain mikobakteria. Bakteri ini merupakan bakteri basil yang sangat kuat sehingga memerlukan waktu lama untuk. Tuberkulosis paru (selanjutnya disebut sebagai tb paru) adalah suatu bentuk tersering dari penyakit tuberkulosis. 3:50 jonathanedbert recommended for you.